
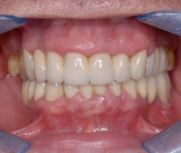
Uzupełnienie zębów przy brakach skrzydłowych obustronnych w żuchwie i szczęce przy zastosowaniu mostów stałych, opartych na zębach własnych pacjenta.
- Obraz kliniczny zębów w zgryzie, widok frontalny przed terapią
- Obraz kliniczny zębów w zgryzie, widok frontalny po zakończonej terapii stomatologicznej




