
Pełnoceramiczne korony wykonane na implantach wprowadzonych do żuchwy przy braku skrzydłowym po stronie lewej
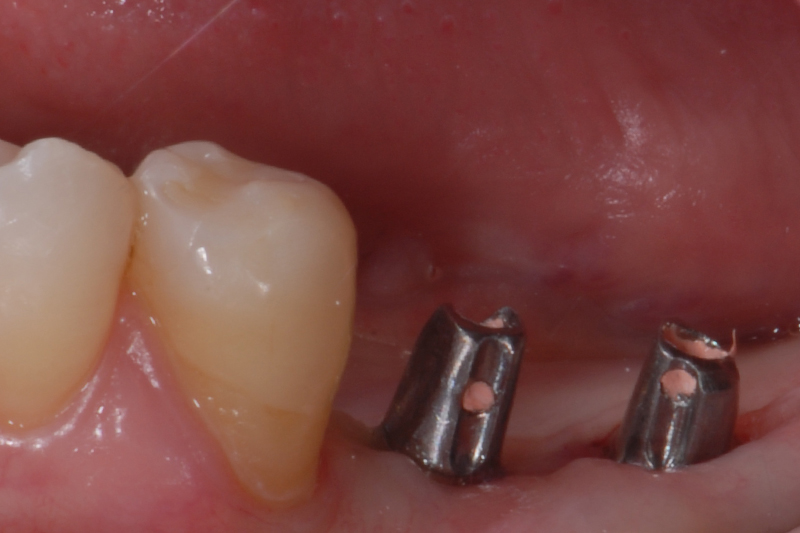
- Status kliniczny przed fazą protetyczną
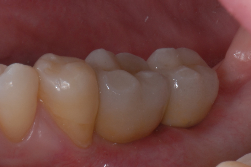
- Status kliniczny po wprowadzeniu odbudowy protetycznej
- filary protetyczne w postaci łączników wprowadzone do implantów
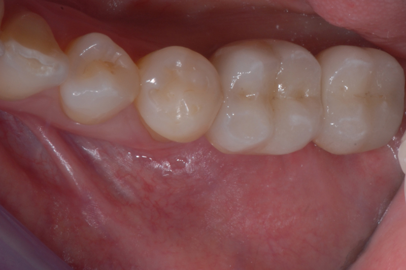
- status kliniczny po wprowadzeniu odbudowy protetycznej – widok powierzchni okluzyjnej
- odbudowa protetyczna na modelu laboratoryjnym
- obraz radiologiczny po zakończonej terapii








