
Stałe uzupełnienie protetyczne zębów szczęki mostem, opartym na 7 implantach ze względu na konieczność usunięcia wszystkich zębów własnych w górnym łuku z powodu periodontopatii
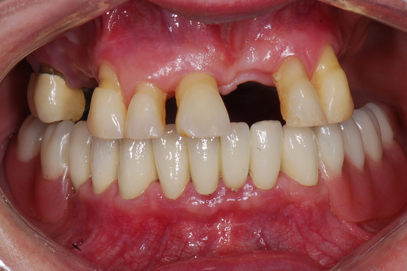
- Status kliniczny przed rozpoczęciem terapii – widok frontalny zębów w zgryzie
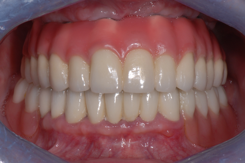
- Status kliniczny po wprowadzeniu do jamy ustnej odbudowy protetycznej w szczęce – widok frontalny zębów w zgryzie
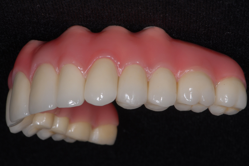
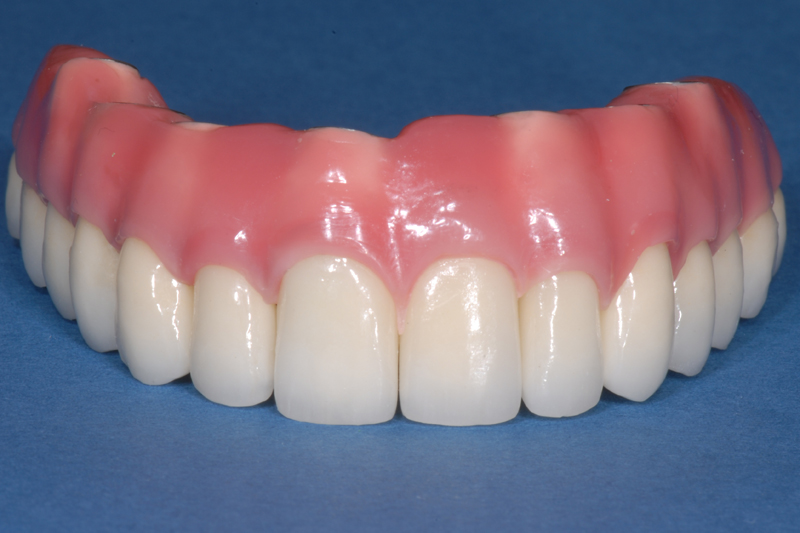
- Odbudowa protetyczna zębów w szczęce
- Odbudowa protetyczna zębów w szczęce
- Status kliniczny w trakcie terapii implantoprotetycznej – widok na 7 łączników wprowadzonych do implantów
- Status kliniczny po zakończonej terapii implantoprotetycznej – obraz radiologiczny








