
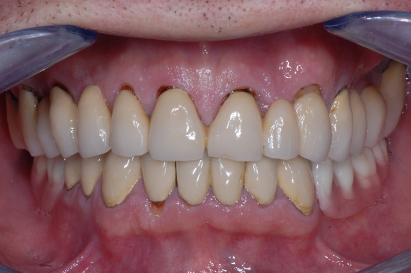
Uzupełnienie zębów przy obustronnych brakach skrzydłowych w szczęce i żuchwie mostami stałymi, opartymi na implantach i zębach własnych oraz poprawa estetyki zębów przednich koronami pełnoceramicznymi.
- Status kliniczny przed rozpoczęciem terapii – widok frontalny zębów w zgryzie
- Status kliniczny po zakończonej terapii – widok frontalny zębów w zgryzie
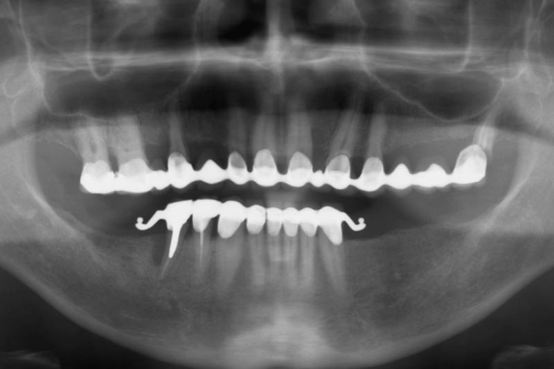
- Radiologiczny obraz kliniczny przed rozpoczęciem terapii
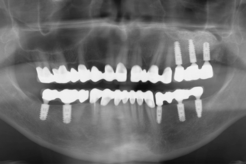
- Radiologiczny obraz kliniczny po zakończonej terapii






